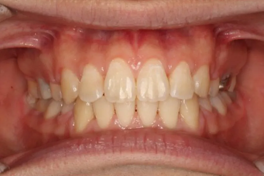
上顎前突 (出っ歯)

上顎前突とは上顎の骨や上の前歯が前に出ている歯並びです。
唇が閉じにくく、頑張って唇を閉じるとオトガイの部分に梅干しのようなシワができます。
上顎前突 (出っ歯)になる原因
上顎前突の原因として、上顎の骨の大きさと下顎の骨の大きさのバランスと上の前歯の生えている角度が挙げられます。顎の骨の大きさは遺伝的な要素が大きいです。上の歯の生えている角度には様々なことが影響します。口呼吸により口が常に開いていると唇から前歯を押さえる力が働かず、前歯は前に出てきます。また、指しゃぶりなどの癖があると自分の指で前歯を前に押し出してしまいます。他にも下唇を咬む癖があると唇が上下の前歯の間に入り込み、上の前歯は前方に、下の前歯は後方に押されてしまいます。このように歯の生える角度には日常生活の小さなことでも大きく影響しています。
上顎前突 (出っ歯)を矯正する際の
矯正方法について
上顎前突を治すには上の前歯を後ろに引っ込める必要があります。そのためには前歯の後ろに隙間が必要であり、隙間が足りない場合には途中の歯を抜いて前歯を後方に引っ込めます。上下の骨の大きさのバランスに問題がある時は、顎の骨が成長中のお子さん(15歳くらいまで)であればバランスを整えるようにコントロールします。
上顎前突症例
治療前



治療後



| 治療内容 |
マルチブラケット装置(ワイヤー)を用いた治療 |
|---|---|
| 抜歯/非抜歯 |
上下左右第一小臼歯抜歯 |
| 期間 |
2年6ヶ月 |
| 料金 |
800,000円 |
| リスク |
歯根吸収、骨性癒着、歯肉退縮、歯髄壊死、知覚過敏の可能性 |
※料金はすべて税抜の表記となります。
反対咬合(受け口)

反対咬合とはいわゆる受け口です。下の前歯が上の前歯より前にあるような状態です。
骨格的に受け口の方は上と下の前歯の先端をカチッと当てることができません。
反対咬合(受け口)になる原因
骨格的な受け口は遺伝的な要素が大きいです。そのためご家族ご親戚に受け口の方がいらっしゃる患者様が多いです。遺伝的要素の他にも小さい頃の癖などによって受け口になることがあります。癖のひとつとして低位舌というもがあります。これは舌がお口の中で常に下の方にストンと落ちている状態です。本来、リラックスしている時には舌は上顎と下顎の中間くらいの位置に浮いている状態が理想的です。舌を持ち上げる筋肉などが不足していると舌の位置を保持できずに下の方へ落ちてしまいます。舌が常に下顎の方に落ちていると内側から下の歯並びを拡げてしまい、上の歯並びとバランスが悪くなり反対咬合に繋がります。
反対咬合(受け口)を矯正する際の
矯正方法について
乳歯の時期の受け口は、早めの治療が重要になります。乳歯の時の受け口は、お子さんの咬み方の癖や間違った咬み方が原因のことが多いので早めに受診をして癖などを改善することが重要です。小学生くらいの受け口のお子さんは、まずは前歯の咬み合わせを治すことを目標とします。取り外しのできるマウスピースタイプの装置やお面のタイプの装置など、お子さんの原因に合った装置で上の前歯が下の前歯よりも前にくるように治します。基本的に取り外しのできる装置は夜間のみの使用になりますので学校などに持っていく必要はありません。
大人の歯並びの受け口はその程度によって治療方法が大きく2つに分けられます。まず1つ目は軽度な受け口に対する一般的な矯正治療です。ワイヤーやマウスピースを用いて受け口を治します。この際抜歯の必要があることがあります。2つ目は重度の受け口の治療です。重度の受け口は、歯を動かすだけでは咬み合わせを治すことができないことがあります。この場合には手術を伴う矯正治療を行います。どのような手術かと言うと下顎の骨もしくは上下の顎をお口の中で一度分割して、前後左右理想的な位置に動かしてボルトで固定します。これにより骨格的な問題も治して、歯並びを改善します。手術を伴う矯正治療になると「顎変形症」という保険病名になるので矯正治療が保険適応になります。この顎変形症の保険治療を行える機関は国によって定められています。
反対咬合症例
治療前



治療後



| 治療内容 |
マルチブラケット装置(ワイヤー)を用いた治療 |
|---|---|
| 抜歯/非抜歯 |
上顎左右第一小臼歯、下顎左右第二小臼歯抜歯 |
| 期間 |
2年9ヶ月 |
| 料金 |
800,000円 |
| リスク |
歯根吸収、骨性癒着、歯肉退縮、歯髄壊死、知覚過敏の可能性 |
※料金はすべて税抜の表記となります。
すきっ歯

すきっ歯とは、歯と歯の間に隙間があって並んでいる状態です。
乳歯列の時には全体的に少し隙間があることが正常とされています。
すきっ歯になる原因
歯の大きさに対して顎の骨が大きい場合、顎の骨の大きさに対して歯の大きさが小さい場合にすきっ歯になります。また、舌を前に出すような癖がある時には後ろから歯が前方に押されて隙間が生じます。いつも口が空いているような方も唇から前歯を押さえる力が弱いので出っ歯やすきっ歯になることがあります。その他にも先天欠損(先天性欠損)と呼ばれる元々生まれながらにどこかの大人の歯が無い方でもすきっ歯になることがあります。
すきっ歯を矯正する際の
矯正方法について
すきっ歯の治療はマウスピースやワイヤーなどを用いて隙間を閉じていきます。原因として舌の癖などがある時には併行して癖の是正を行います。
乱杭歯(凸凹/叢生)

叢生(そうせい)とはガタガタな歯並びのことを意味します。乱杭歯などと言われることもあります。
八重歯なども叢生のひとつです。
乱杭歯(凸凹/叢生)になる原因
叢生の原因は歯の大きさと顎の大きさのバランスの悪さです。歯の大きさが顎に対して大きい、反対に顎の大きさが歯に対して小さいと歯が並ぶ隙間が足りなくなり肩寄せ合ってガタガタに生えてきます。足りない隙間の量が多いと生えてくる時期に生えてこずに埋伏歯(生えてこれずに骨の中に埋まったままの歯)になることがあります。これは犬歯(糸切り歯)に起こることが多いので11〜12歳くらいになっても生えてこない時には一度レントゲンでチェックしてもらいましょう。
乱杭歯を矯正する際の
矯正方法について
子供の時期の叢生は顎の大きさを拡げることで解消される場合があります。しかしながら顎の骨を拡げられる量にも限界があり、お顔立ちとのバランスもあるためむやみやたらに拡げることには注意が必要です。お子さんのガタガタの原因をしっかりと把握して治療を行うことが重要です。 大人の歯並びの叢生はいくつかの方法で改善ができます。ひとつは途中の歯を抜いて隙間を得て歯並びを改善します。他にも奥歯を後ろに送る、歯並びのUの字を拡げる、歯の大きさを少し小さくするなどの方法でガタガタを解消していきます。
乱杭歯(凸凹/叢生)症例
治療前



治療後



| 治療内容 |
マルチブラケット装置(ワイヤー)を用いた治療 |
|---|---|
| 抜歯/非抜歯 |
上下左右第一小臼歯抜歯 |
| 期間 |
2年4ヶ月 |
| 料金 |
800,000円 |
| リスク |
歯根吸収、骨性癒着、歯肉退縮、歯髄壊死、知覚過敏の可能性 |
※料金はすべて税抜の表記となります。
開咬

開咬とは咬んだ時に上下の前歯がぶつからずに隙間が開いている状態です。前歯で物を咬み切れない、舌足らずな喋り方になってしまうなどがあります。
開咬になる原因
骨格的な原因と歯並びの原因があります。骨格的な問題は下顎の形態的な特徴に基づくことが多く、その原因には様々な要素が関係していると考えられています。歯並びの原因としては指しゃぶりや舌の癖が関係しています。幼少期まで続く指しゃぶりは指の力によって歯槽骨(歯の並ぶ骨)を変形させてしまい上下の前歯の間の隙間を作ってしまいます。舌突出癖も同様に舌で上下の前歯を後ろから押すことにより上下の前歯が前方に傾斜して上下の前歯が当たらなくなってしまいます。
開咬を矯正する際の
矯正方法について
お子さんの場合は指しゃぶりや舌突出癖を治していきます。癖を治すのをサポートする装置を使ったり、舌や唇の筋力トレーニング(口腔筋機能療法)を行ったりします。なかなか指しゃぶりが辞められないなどがある時には早めに歯医者さんに相談に行きましょう。 大人の歯並びでは、その程度によっては歯並びだけではなく手術による骨格の改善が必要になることがあります。歯並びだけで治療が可能な時にはワイヤーやマウスピースなどで前歯が当たるように治療を進めていきます。この際に必要に応じて口腔筋機能療法(MFT)を併行して行います。
開咬症例
治療前



治療後



| 治療内容 |
マルチブラケット装置(ワイヤー)を用いた治療 |
|---|---|
| 抜歯/非抜歯 |
抜歯なし |
| 期間 |
1年10ヶ月 |
| 料金 |
800,000円 |
| リスク |
歯根吸収、骨性癒着、歯肉退縮、歯髄壊死、知覚過敏の可能性 |
※料金はすべて税抜の表記となります。
過蓋咬合

過蓋咬合とは咬み合わせが深い歯並びを言います。咬み合わせが深いとは上の前歯が下の前歯のほとんどを覆い隠しているような状態です。一般的には上の前歯は下の前歯の2~3mmを覆い隠す状態が正常とされています。
過蓋咬合になる原因
過蓋咬合の原因には様々のもがあります。上下の顎の骨のバランスが悪いことや前歯の傾き、前歯と奥歯の高さの問題などがあります。また下の唇を咬んだり吸ったりする癖や、指しゃぶりや口呼吸なども原因となります。その他には虫歯などでどこかの奥歯がなくなると咬む力に他の奥歯が耐えられなくなり、少しずつ奥歯が沈んでいき咬み合わせが深くなります。お子さんが虫歯で奥歯を抜いてしまった時は早めに矯正の相談に行きましょう。過蓋咬合になる方は比較的咬む力が強い方が多いです。放っておくと奥歯への負担が大きくなります。また顎関節に症状が出たり、被せ物がすぐに割れてしまったりします。
過蓋咬合を矯正する際の
矯正方法について
お子さんの場合は取り外しのできるマウスピースなどを用いて顎の骨の成長のコントロールや歯の高さや角度の調整をしていきます。大人の場合にはワイヤーやマウスピースなどで歯の高さや角度を治していきます。食いしばりなどの癖がある時には併行して食いしばりの指導も行います。咬む力が強すぎる方には咬む筋肉へのボトックス注射などで筋肉の力を少し緩和させることも可能です。
過蓋咬合症例
治療前



治療後



| 治療内容 |
マルチブラケット装置(ワイヤー)を用いた治療 |
|---|---|
| 抜歯/非抜歯 |
上下左右第一小臼歯抜歯 |
| 期間 |
2年9ヶ月 |
| 料金 |
800,000円 |
| リスク |
歯根吸収、骨性癒着、歯肉退縮、歯髄壊死、知覚過敏の可能性 |
※料金はすべて税抜の表記となります。
交叉咬合

交叉咬合とは奥歯の咬み合わせが上が内側に下が外側に交叉して咬んでいる状態です。
交叉咬合になる原因
上下の顎の骨の大きさのバランスが悪かったり、下顎の形が左右どちらかに変形していたりすると交叉咬合になります。
小さい頃の頬杖なども原因と言われています。
交叉咬合を矯正する際の
矯正方法について
顎が成長中のお子さんではマウスピースなどを用いて横幅を拡げたりなどの成長のコントロールをして治していきます。
頬杖などの癖がある場合には指導して是正していきます。大人の歯並びの場合にはワイヤーやマウスピースを用いて歯の傾きなどで治していきます。下顎の変形が重度で歯の傾きだけでは治せない場合には顎の骨の動かす手術を伴う外科的矯正治療を行うこともあります。
矯正治療の
リスクについて
全ての医療行為と同様に、矯正治療にも幾つかのリスクがあります。
適切な診断に基づき診療を行いますが、これらのリスクは治療中および治療後に発生する可能性があります。
-
歯根吸収
根の先が丸くなったり、短くなることがあります。
-
骨性癒着
歯の根と周りの骨がくっついていて歯が動かない状態の場合があります。
(外傷などで抜けた歯を植え直していたりすると起こる可能性があります。) -
歯肉退縮
歯茎のラインが下がることがあります。
-
歯髄壊死
歯の神経が壊死することがあります。歯の変色などが起こります。
-
知覚過敏
力の加わっている歯に知覚過敏のような症状がでることがあります。
上記以外にも予期せぬ偶発症・合併症のリスクがあります。
当院では矯正治療におけるリスクについても十分に説明を行った上で診療を行います。